Der Hallux valgus auch Ballenzehe genannt ist die häufigste Fehlstellung des Fußes. Ein Drittel der schuhtragenden Bevölkerung leidet daran. Dabei sind Frauen in 90 Prozent der Fälle betroffen. Durch Wanderung des 1. Mittelfußknochens nach innen kommt es zur Verbreiterung des Vorfußes (Spreizfuß). Die veränderte Arbeitsweise der Muskulatur führt dann zur Abweichung der Großzehe nach außen. Regelhaft ist das Tragen von engem Schuhwerk nicht mehr möglich. Häufig bestehen zusätzlich Fehlstellungen der Kleinzehen.

Ursachen für eine Hallux-Valgus-Deformität
1. Das Schuhwerk
Das Tragen von modischem Schuhwerk fördert die Entstehung des Hallux valgus. Hohe Absätze wirken wie eine schiefe Ebene und drängen den Fuß in den zu engen Vorfußbereich hinein. Zusätzlich führt das Tragen fester Schuhe zu einer Verkümmerung wichtiger Fußmuskeln. Das entstehende Ungleichgewicht der Muskulatur verstärkt die Fehlstellung.
2. Die Vererbung
Zwei von drei Patienten mit einem Hallux valgus berichten über Familienmitglieder mit ähnlichen Beschwerden. Die Vererbung ist wissenschaftlich belegt. Üblicherweise wird eine Bindegewebsschwäche weitergegeben, die dann die Entstehung des Hallux valgus begünstigt.
3. Die Instabilität des 1. Mittelfußgelenkes
Fehlstellungen der Ferse sind eine der wichtigsten Ursachen in der Entstehung des Hallux valgus. So führt eine bestehende Plattfußdeformität zum Einknicken der Ferse nach innen. Unweigerlich kommt es durch Überlastung zur Instabilität des 1. Mittelfußgelenkes. Die Folge ist die Wanderung des 1. Mittelfußknochens nach innen mit Entstehung des Hallux valgus.
Die Untersuchung
Bereits die Beobachtung des Fußes zeigt die typische Deformität. Der Vorfuß ist verbreitert, der Ballen gerötet und die Großzehe weicht nach außen ab. Die häufigste druckschmerzhafte Stelle ist der gerötete Ballen der Großzehe. Durch das Auftreten einer Schleimbeutelentzündung können hier starke Schmerzen entstehen. Nicht selten führt die veränderte Vorfußbelastung zu Überleitungsschmerzen. Diese äußern sich durch schmerzhafte Schwielen unter dem Fuß. Eine Bewegungseinschränkung der Großzehe findet sich häufig bei bestehendem Gelenkverschleiß.
Die weitere Untersuchung des Fußes überprüft die Funktion des Großzehengrundgelenkes und des 1. Mittelfußgelenkes. Eine Bewegungseinschränkung der Großzehe findet sich häufig bei bestehendem Gelenkverschleiß. Die Instabilität des 1. Fußwurzelgelenkes führt zur Entstehung des Hallux valgus und sollte bei der Auswahl des Therapieverfahrens berücksichtigt werden.
Es folgt die Beurteilung der Kleinzehen. Eine nach außen abweichende Großzehe drängt regelhaft die 2. Zehe nach oben. Typischerweise entstehen Krallenzehen mit druckschmerzhaften Schwielen über den Mittelgelenken.

Bei der weiteren Untersuchung des Fußes wird die Funktion des Großzehengrundgelenkes und des 1. Mittelfußgelenkes überprüft. Die Instabilität des 1. Fußwurzelgelenkes führt zur Entstehung des Hallux valgus und sollte bei der Auswahl des Therapieverfahrens berücksichtigt werden.
Es folgt die Beurteilung der Kleinzehen. Eine nach außen abweichende Großzehe drängt regelhaft die 2. Zehe nach oben. Typischerweise entstehen Krallenzehen mit druckschmerzhaften Schwielen über den Mittelgelenken.
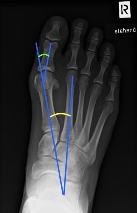
Ergänzend zur Untersuchung sollte ein Röntgenbild des ganzen Fußes unter Belastung in zwei Ebenen angefertigt werden. Spezielle Winkelmessungen ermöglichen die Bestimmung des Schweregrades der Fehlstellung. Zeichen des Gelenkverschleißes werden sichtbar und können bei der Erstellung des Therapiekonzeptes berücksichtigt werden.



Die Therapie
Konservative Behandlungsmöglichkeiten wie Einlagenversorgung oder das Tragen einer Hallux-valgus-Schiene können häufig die Beschwerden nicht dauerhaft bessern. Das Ziel der Therapie ist die Korrektur der Fehlstellung verbunden mit der Wiederherstellung einer normalen Belastung des Vorfußes. Hierzu sind operative Therapieansätze erforderlich. Die Auswahl der Operationsmethode richtet sich nach dem Ausprägungsgrad. Zusätzlich vorhandene Deformitäten der Kleinzehen erweitern den Eingriff.
Die Chevron-Osteotomie
Bei geringen Fehlstellungen kann eine Chevron-Osteotomie durchgeführt werden. Zunächst werden die Weichteile, die das Gelenk umgebenden, gelockert. Auf diese Weise wird die Großzehe in eine normale Position gebracht. Nach Abtragung des knöchernen Vorsprunges (Pseudoexostose) im Bereich des 1. Mittelfußknochens kann die knöcherne Fehlstellung korrigiert werden. In korrigierter Stellung wird der Knochen mit einer Schraube fixiert.
Schmerztherapie
Während der Operation wird ein Schmerzmittel in den Fuß gespritzt. Somit sind stärkere Schmerzen nicht zu erwarten und die Einnahme milder Schmerzmittel ist ausreichend.
Nachbehandlung
Der Krankenhausaufenthalt dauert drei Tage. Der Fuß kann in einem Spezialschuh sofort voll belastet werden. Nach erfolgter Mobilisation und Erreichen trockener Wundverhältnisse kann das Krankenhais verlassen werden. Sechs Wochen nach der Operation wird ein Röntgenbild angefertigt. Ist der Knochen verheilt kann der Fuß in normalem Schuhwerk voll belastet werden.


Die Lapidusarthrodese
Bei höhergradigen Fehlstellungen liegt häufig eine Instabilität des 1. Fußwurzelgelenkes vor. In diesen Fällen wird die Fehlstellung durch eine Fußwurzelversteifung korrigiert.
Zunächst werden die gelenkumgebenden Weichteile gelockert und der knöcherne Vorsprung des 1. Mittelfußknochens abgetragen. Nach Darstellung des 1. Mittelfußgelenkes wird der Gelenkknorpel entfernt und der Knochen angefrischt. In korrigierter Stellung erfolgt die Fixierung mit einer Platte und Schrauben.
Schmerztherapie
Vor der Operation ist es sinnvoll, einen Schmerzblock anzulegen. Hierbei wird ein Schmerzmittel in die Kniekehle gespritzt, die Schmerznerven werden blockiert.
Nach der Operation treten kaum Schmerzen auf. Am Tag nach der Operation ist bereits die Einnahme milder Schmerzmittel ausreichend.
Der Krankenhausaufenthalt
Der Krankenhausaufenthalt beträgt drei bis fünf Tage. In den ersten zwei Wochen nach der Operation wird der Fuß in einer Unterschenkelschale ruhiggestellt und darf nicht belastet werden.


Nach Entfernung der Fäden ist in einem Spezialschuh eine Teilbelastung mit 20 kg an Unterarmstützen für weitere vier Wochen erlaubt. Nach sechs Wochen wird ein Röntgenbild angefertigt. Ist der Knochen verheilt, kann der Fuß in normalem Schuhwerk voll belastet werden.

Kontakt
Fachklinik 360° in Ratingen