Achillessehnenbeschwerden sind ein Krankheitsbild, das in jeder fußchirurgischen Sprechstunde häufig auftritt. Nicht nur Ausdauersportler, sondern auch Patienten, die bei ihrer Arbeit lange stehen müssen, klagen über diese Probleme. Auslöser dieser Beschwerden kann die Haglund-Exostose (auch Haglund-Ferse genannt) sein, ist eine Formabweichung des Fersenknochens. Bei ihr ist der hintere obere Rand so stark ausgeprägt, dass es zu Schmerzen im Bereich der Achillessehne kommt.
Bei jedem Schritt reibt der Fersenknochen an der Achillessehne entlang, und eine schmerzhafte Schleimbeutelentzündung zwischen Sehne und Knochen ist die Folge. Die Schmerzen können so ausgeprägt sein, dass Schuhe mit enger Fersenkappe nicht mehr getragen werden können.
Die Beschwerden
Der typische Schmerzpunkt liegt über dem hinteren oberen Rand des Fersenknochens neben dem Ansatz der Achillessehne.
Häufig kommt es neben der Haglund-Exostose zur Ausbildung eines dorsalen (an der Rückseite des Fußes liegenden) Fersenspornes. Hierbei verknöchert der Ansatz der Achillessehne am Fersenknochen. Es entsteht daraufhin eine schmerzhafte Vorwölbung am hinteren Rand des Fersenknochens.
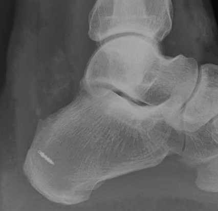
Ein Röntgenbild des oberen Sprunggelenkes ist zur Darstellung der Haglund-Ferse und des dorsalen Fersenspornes ausreichend. Um zudem Einrisse der Achillessehne nicht zu übersehen, ist die Anfertigung eines MRT-Bildes sinnvoll.


Konservative Therapie
Konservative Therapiemaßnahmen wie das Tragen eines Fersenpolsters und physiotherapeutische Übungen mit Dehnung der Achillessehne können die Beschwerden bessern. Die Durchführung einer Stoßwellentherapie oder eine Röntgenreizbestrahlung wirkt zudem schmerzlindernd.
Minimal-invasive operative Therapie
Bei anhaltenden Beschwerden ist dann die operative Entfernung des übergroßen Fersenhöckers und des Schleimbeutels in minimal invasiver Technik (endoskopische Kalkaneoplastik) sinnvoll. Hierbei wird die Achillessehne geschont und muß nicht vom Knochen abgelöst werden.

Nachbehandlung
Nach minimal-invasiver Operationstechnik ist keine Ruhigstellung erforderlich. In den ersten zwei Wochen ist eine Teilbelastung des Fußes mit 20 kg erlaubt. Danach kann der Fuß voll belastet werden. Das Tragen eines Fersenpolsters ist für die Dauer von vier Wochen sinnvoll.
Operative Therapie
Liegt zusätzlich ein dorsaler Fersenporn vor, kann dieser bei einer Operation mit entfernt werden. Bei diesem Eingriff muss die Achillessehne teilweise vom Knochen abgelöst werden. Nach Entfernung des Spornes ist zur Rekonstruktion des Sehnenansatzes das Einbringen eines Knochenankers notwendig.


Nachbehandlung
Nach Entfernung des dorsalen Fersenspornes mit Rekonstruktion des Achillessehnenansatzes ist die Ruhigstellung des Fußes in einer Unterschenkelgipsschale für zwei Wochen erforderlich. In den anschließenden vier Wochen ist das Tragen eines Aircastwalkers vorgesehen, dort kann der Fuß aber voll belastet werden.
Kontakt
Fachklinik 360° in Ratingen